2014.11.28

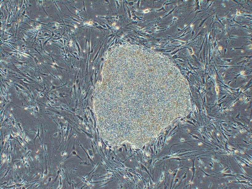
iPS細胞

iPS細胞